Research visit at Istituto Zooprofilattico Sperimentale delle Venezie (IZSVe) (Padova, Italy)
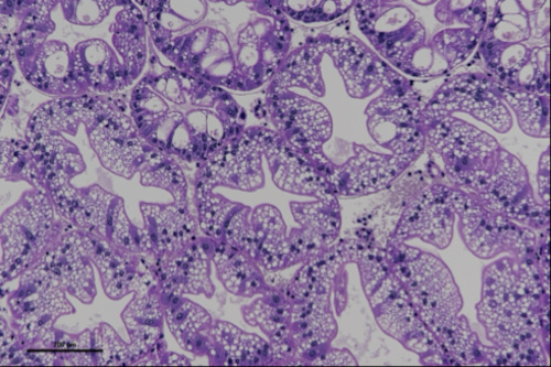
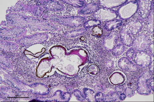
Katarina Bačnik, postdoc at National Institute of Biology (NIB), visited a lab at Istituto Zooprofilattico Sperimentale delle Venezie (IZSVe) in Legnaro, Padova, Italy from 10th to 15th August 2025, under the supervision of Dr. Tobia Pretto. The purpose of the visit was to provide education on sample preparation for histopathological analysis, processing of signal crayfish hepatopancreas samples, and designing a system for histopathological scoring of severity and frequency of observed histopathological changes, which was followed by examining samples under a microscope. Using high-throughput sequencing (HTS), we have previously characterized the virome of one of the most successful invasive freshwater invertebrate species in Europe—the crayfish (Pacifastacus leniusculus)—and identified novel and divergent RNA viruses associated with this species along its invasion range. Some of the viruses present in the invasive host can cause histopathological changes in tissues, as previously observed in the high incidence of idiopathic necrotizing hepatopancreatitis (Bekavac et al., 2022).
Using the newly obtained knowledge, we aim to implement the histopathological analysis of invertebrate samples in our lab at National Institute of Biology (NIB), in the case of hepatopancreas samples using the designed binominal scoring to describe the overall presence/absence of histological changes and ordinal method with scoring of several test fields.
The visit was funded by Instruct.SI to which Katarina Bačnik thanks for support.
Bekavac, A., Beck, A., Dragičević, P., Dragun, Z., Maguire, I., Ivanković, D., Fiket, Ž., Gračan, R., & Hudina, S. (2022). Disturbance in invasion? Idiopathic necrotizing hepatopancreatitis in the signal crayfish Pacifastacus leniusculus (Dana, 1852) in Croatia. Journal of Fish Diseases, 45(2), 261–276. https://doi.org/10.1111/jfd.13552

